Intra-articular fibroma of the tendon sheath, originating from synovial membrane with focal neural differentiation 

A 38 year-old man presented with pain and edema of the knee joint region. CT scan revealed a well-circumscribed mass, located on the synovial membrane and projecting in the intra-articular space. Immunohistochemistry was positive for smooth muscle actin, vimentin and focally for S100 protein. All other markers were negative.

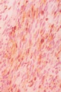
H+E microscopic appearance
of the intra-articular lesion
     
Smooth muscle actin, vimentin
and S100 protein immunohistochemical expression
 
Υπενθύμιση στοιχείων εισόδου
  Email
 
  Κωδικός
 
 
   
Νέος χρήστης; Εγγραφή εδώ!